
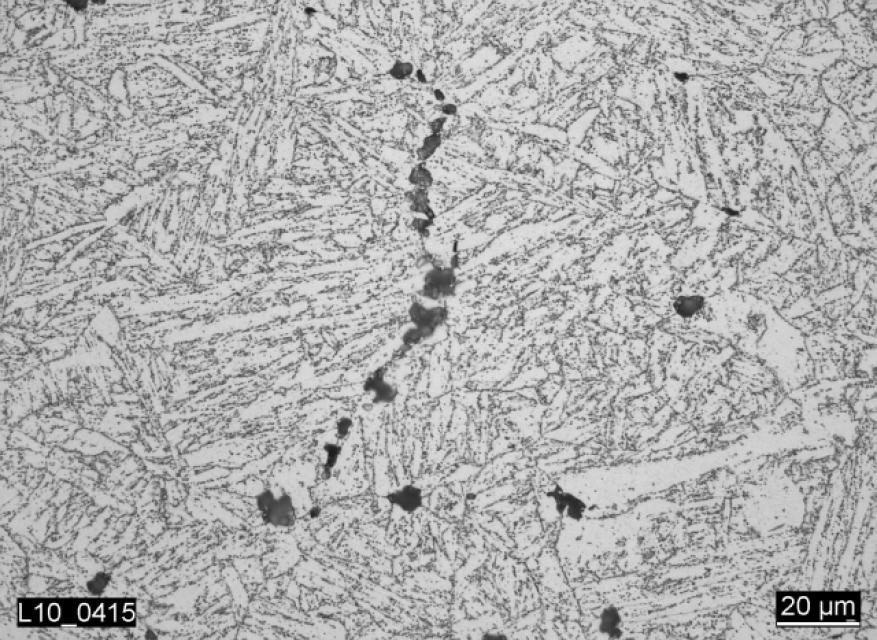
Scheck, R., Maile, K. and Metzger, K.. "Use of mobile metallography to assess the extent of damage to high temperature components in power plants" https://doi.org/10.1515/pm-2024-0069 © 2023 Walter de Gruyter GmbH, Berlin/Boston, Germany
Practical Metallography, vol. 61, no. 9-10, 2024, pp. 799-814
© 2025